
MRI second opinion
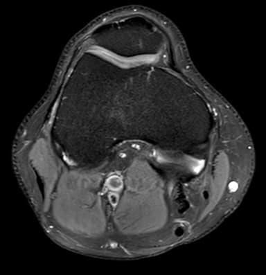
Komplekse skader, smerter, instabilitet, sene/ligament‑patologi, marvabnormiteter og postoperative tilfælde.
Vi leverer ekspert second opinions udelukkende inden for muskuloskeletal billeddiagnostik på MRI, CT og udvalgte røntgenundersøgelser.
Eksempler fra reelle MSK-kontekster, herunder skulder, knæ, ankel og håndled, hvor strukturerede second opinions ofte giver størst klinisk værdi.





Komplekse skader, smerter, instabilitet, sene/ligament‑patologi, marvabnormiteter og postoperative tilfælde.

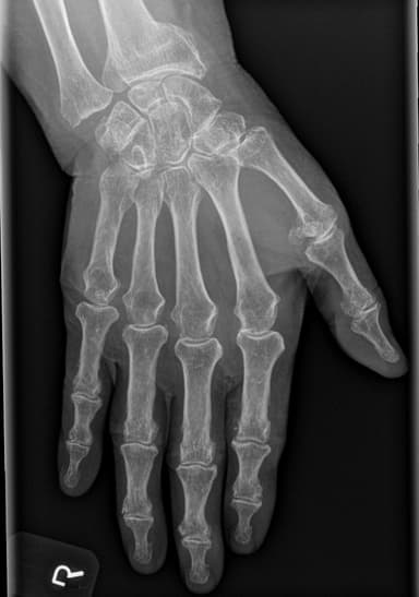
Frakturer, subtile kortikale skader, ledkongruens, knoglelæsioner og postoperativ vurdering.

Alignment, frakturmønstre, degenerative forandringer og opfølgende sammenligning.
Alle ydelser leveres som uafhængige second opinions med struktureret rapportering og mulighed for afklaring efter rapporten.